Houston, we have an announcement: It's World Space Week! This year, the theme is "Living in Space", so we're revisiting our best articles on the challenges and wonders of life in microgravity and on planets far from home.
Spaceflight Accelerates Aging of Human Stem Cells, Study Finds

The rigors of space travel could accelerate changes in the human body usually associated with aging.
According to a new study of human tissues sent into low-Earth orbit, time in space reduces cell production, exacerbates DNA damage, and increases the signs of aging in the telomeres that cap the ends of chromosomes.
Read the full story here.
Genetically Enhanced Humans May Be The Future of Space Travel

When considering human settlements on the Moon, Mars, and further afield, much attention is given to the travel times, food, and radiation risk.
We'll undoubtedly face a harsh environment in deep space, and some thinkers have been pointing to genome editing as a way to ensure that humans can tolerate the severe conditions as they venture further into the Solar System.
Read the full story here.
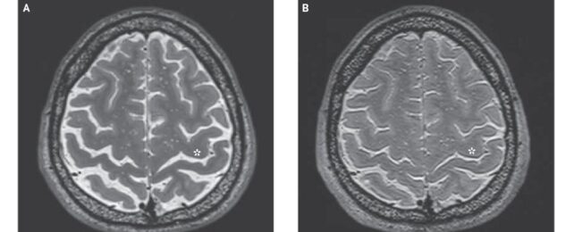
Here's What Long-Term Living in Space Does to Astronaut Brains

As if astronauts didn't have enough to worry about, a new study has confirmed one more possible health problem intrepid spacefarers face as they reach for the stars – tissue expansion at the top of the brain.
It's not clear yet what the consequences of this swelling might be, and if there are any adverse health effects at all. But it's hard to imagine 'brain squeeze' is something potential Martian pioneers would be looking forward to.
Read the full story here.
We Finally Know The Full Extent of Space Destroying Astronauts' Red Blood Cells

Since our species first started to spend extended periods of time beyond our planet, researchers have noticed a curious and consistent loss of red blood cells among astronauts.
The phenomenon is called 'space anemia', and until recently, its cause was a mystery. A 2022 study points toward a destructive and lasting mechanism.
Read the full story here.
Space Could Pose an Unexpected Threat to Our Gut Microbiome, Scientists Discover

In a recent study, an international team of scientists considered an often-overlooked aspect of human health: our microbiome. In short, how will time in space affect our gut bacteria, which is crucial to our well-being?
As they note in their study, the microbiota of astronauts will encounter elevated stress from microgravity and space radiation, including Galactic Cosmic Rays.
Read the full story here.
NASA Took Mice Into Space, And It Did Something Scary to Their Bones

Floating about in microgravity might seem like a blissful reprieve for the human body's weight-bearing skeleton, but when astronauts spend months in space, their bone density takes a serious hit that they may never fully recover from.
A study of mice on board the International Space Station gives NASA scientists a better clue as to why this significant and unresolved health risk exists.
Read the full story here.