We have all experienced boredom – that feeling of waning interest or decreased mental stimulation. Eventually we lose focus, we disengage. Time seems to pass slowly, and we may even start to feel restless. Whether it be watching a movie that disappoints, a child complaining that "there's nothing to do", or an adult zoning out during a meeting – boredom is a universal experience.
Generally defined as difficulty maintaining attention or interest in a current activity, boredom is commonly viewed as a negative state that we should try to avoid or prevent ourselves from experiencing.
But what if there's another way to view boredom, as a positive state? Could learning to embrace boredom be of benefit?
The brain on boredom
The brain network is a system of interconnected regions that work together to support different functions. We can liken it to a city where suburbs (brain regions) are connected by roads (neural pathways), all working together to allow information to travel efficiently.
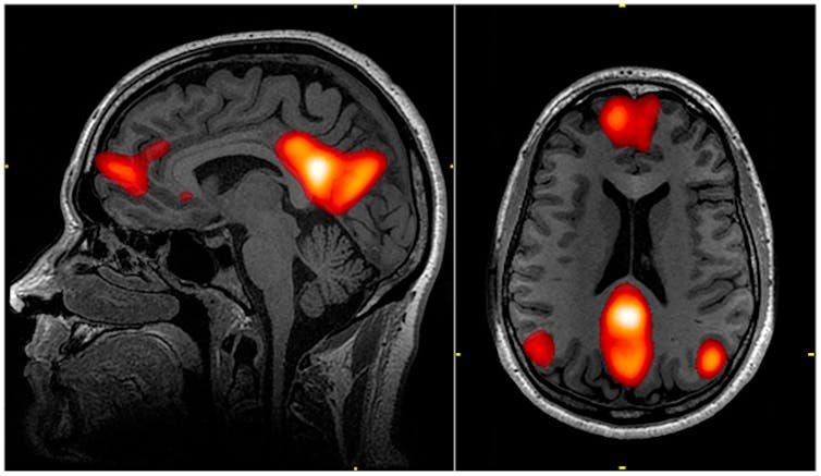
When we experience boredom – say, while watching a movie – our brain engages specific networks. The attention network prioritises relevant stimuli while filtering out distractions and is active when we commence the movie.
However, as our attention wanes, activity in the attention network decreases, reflecting our diminished ability to maintain focus on the unengaging content. Likewise, decreased activity occurs in the frontoparietal or executive control network due to the struggle to maintain engagement with the unengaging movie.
Simultaneously, the default mode network activates, shifting our attention toward internal thoughts and self-reflection. This is a core function of the default mode network, referred to as introspection, and suggestive of a strategy for coping with boredom.
This complex interplay of networks involves several key brain regions "working together" during the state of boredom. The insula is a key hub for sensory and emotional processing. This region shows increased activity when detecting internal body signals – such as thoughts of boredom – indicating the movie is no longer engaging. This is often referred to as "interoception".
The amygdala can be likened to an internal alarm system. It processes emotional information and plays a role in forming emotional memories. During boredom, this region processes associated negative emotions, and the ventral medial prefrontal cortex motivates us to seek alternative stimulating activities.

Boredom versus overstimulation
We live in a society that subjects us to information overload and high stress. Relatedly, many of us have adopted a fast-paced lifestyle, constantly scheduling ourselves to keep busy. As adults we juggle work and family. If we have kids, the habit of filling the day with schooling and after-school activities allows us to work longer hours.
In between these activities, if we have time to pause, we may be on our screens constantly organising, updating, or scrolling to simply stay occupied. As a result, adults inadvertently model the need to be constantly "on" to younger generations.
This constant stimulation can be costly – particularly for our nervous system. Our overscheduling can feed into overstimulation of the nervous system. The sympathetic nervous system which manages our fight-or-flight response is designed to deal with times of stress.
However, when we are constantly stressed by taking in new information and juggling different activities, the sympathetic nervous system can stay activated for too long, due to the cumulative effects of repeated exposure to different stressors. This is sometimes referred to as "allostatic overload". It is when our nervous system becomes overwhelmed, keeping us in a heightened state of arousal, which can increase our risk of anxiety.
Eliminating the state of boredom deprives us of a simple and natural way to reset our sympathetic nervous system.
Could boredom be good for us?
In small doses, boredom is the necessary counterbalance to the overstimulated world in which we live. It can offer unique benefits for our nervous system and our mental health. This is opposed to long periods of boredom where increased default mode network activity may be associated with depression.
There are several benefits of giving ourselves permission to be occasionally bored:
- improvements in creativity, allowing us to build "flow" in our thoughts
- develops independence in thinking and encourages finding other interests rather than relying on constant external input
- supports self-esteem and emotional regulation, because unstructured times can help us sit with our feelings which are important for managing anxiety
- encourages periods without device use and breaks the loop of instant gratification that contributes to compulsive device use
- rebalances the nervous system and reduces sensory input to help calm anxiety.
Embrace the pause
Anxiety levels are on the rise worldwide, especially among our youth. Many factors contribute to this trend. We are constantly "on", striving to ensure we are scheduling for every moment. But in doing so, we are potentially depriving our brains and bodies of the downtime they need to reset and recharge.
We need to embrace the pause. It is a space where creativity can prosper, emotions can be regulated, and the nervous system can reset.
Michelle Kennedy, Youth Mental Health Researcher, University of the Sunshine Coast and Daniel Hermens, Professor of Youth Mental Health & Neurobiology, University of the Sunshine Coast
This article is republished from The Conversation under a Creative Commons license. Read the original article.