Every few months, a new "miracle cure" for cancer trends on social media. From superfoods and supplements to extreme diets, the promises are always bold – and almost always misleading.
The latest claim suggests that a 21-day water fast can "starve" cancer cells and trigger the body to heal itself. It sounds simple, even empowering: stop eating and your body will do the rest.
But biology is rarely that simple. Cancer is not a single disease, and metabolism does not switch neatly between "sick" and "healthy." While fasting can affect how our cells use energy, there is no scientific evidence that it can eradicate tumours.
Related: No, Your Cravings Aren't a Reliable Sign of Cancer, Expert Explains
In fact, prolonged fasting can be dangerous, especially for people already weakened by cancer or its treatments.
While fasting can influence metabolism, immunity and some aspects of cell growth, there is no credible evidence that prolonged water fasting can treat or cure cancer.
Fasting, in its many forms – from intermittent fasting to short-term calorie restriction – has been shown in laboratory studies to influence how cells repair themselves and manage energy.
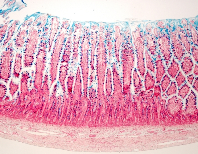
2024 research shows that fasting temporarily suppresses intestinal stem cell activity, followed by a powerful regenerative phase once food is reintroduced. This rebound in stem cell growth is driven by a pathway known as mTOR, which promotes protein synthesis and cell proliferation.

While this regeneration helps tissues recover, it can also create a vulnerable window in which harmful mutations may occur more easily, raising the risk of tumour formation.
Most research on fasting's effects has focused on intermittent or short fasts lasting between 12 and 72 hours, not on extreme water-only fasts that continue for weeks. A 21-day water fast, as promoted in some wellness circles, carries serious risks. Extended fasting can cause dehydration, electrolyte imbalances, dangerously low blood pressure and muscle loss.
Cancer itself often leads to malnutrition, and fasting can accelerate wasting (cachexia), weaken the immune system and increase susceptibility to infection.
Many cancer patients are undergoing chemotherapies that require adequate nutrition to maintain organ function and safely metabolise drugs. Combining these treatments with prolonged fasting can amplify toxicity, delay recovery and worsen fatigue.
There are ongoing clinical studies into short fasting or fasting-mimicking diets before chemotherapy, but these are medically supervised, typically lasting less than 48 hours and carefully monitored for safety.
Fasting continues to intrigue scientists because it activates ancient survival mechanisms. During food scarcity, the body triggers processes such as autophagy, where cells recycle damaged components. This process can reduce inflammation and improve metabolic health in animal studies.
But in cancer, the story is far more complex. Cancer cells are resourceful. They can adapt to fasting by finding alternative fuel sources, sometimes outcompeting healthy cells under nutrient stress. Long periods without nutrition can also weaken immune cells that normally detect and attack tumours.
The 2024 fasting study demonstrates this duality. Fasting may reset metabolism, but refeeding rapidly activates growth pathways such as mTOR. In healthy cells, this helps repair tissues.
In cells already carrying DNA damage or early mutations, it can encourage malignant progression. This makes fasting a complex biological stress factor rather than a harmless or therapeutic intervention.
The 'detox' myth
Much of fasting's popular appeal comes from the myth of "detoxification": the belief that abstaining from food "cleanses" the body. In reality, organs such as the liver, kidneys and lymphatic system already perform this task continuously.
Cancer is not caused by accumulated "toxins" that can be flushed out. It develops through genetic changes that cause uncontrolled cell growth. No research has shown that fasting can eliminate cancer cells or shrink tumours in humans.
Controlled studies have observed only short-term metabolic shifts that may influence inflammation or insulin signalling. These effects could help reduce long-term risk factors for chronic disease, but they do not reverse cancer once it has developed.
The promise and limits of metabolic research
There is scientific interest in how metabolism affects cancer. Researchers are exploring whether targeted calorie restriction or ketogenic diets could make tumour cells more sensitive to treatment while protecting healthy ones.
These studies are still in early stages and focus on precision, not deprivation. None involve starving the body of all nutrients for weeks.
Sensational claims blur the line between hypothesis and proof, giving vulnerable patients false hope by cherry-picking facts, mentioning fasting's role in cell repair while omitting the crucial detail that most findings come from animal models, not human trials.
For someone undergoing cancer treatment, attempting an unsupervised extreme fast could delay essential care, worsen side effects, or even put their life at risk.

Fasting is a physiological stressor. In small, controlled doses, it can trigger adaptive processes that benefit health. In excess, especially during illness, it can cause harm.
A 21-day water fast is neither a plausible nor a safe cancer treatment. Research into fasting helps us understand how cells respond to nutrition and stress, but that knowledge underscores fasting's complexity rather than supports it as therapy.
While balanced nutrition, hydration, regular physical activity and adequate sleep can all support resilience during cancer therapy, none replace medical treatments designed to target tumour biology. Cancer care requires targeted, evidence-based treatments such as chemotherapy, radiotherapy, surgery and immunotherapy.
Fasting research is helping us understand the deep connections between metabolism and disease, but that is very different from curing cancer with a glass of water and willpower.
It is understandable that people want control when facing something as frightening as cancer. The search for alternatives often comes from fear, frustration or a wish to avoid painful treatments. But hope should never rest on misinformation.
Justin Stebbing, Professor of Biomedical Sciences, Anglia Ruskin University
This article is republished from The Conversation under a Creative Commons license. Read the original article.
